Preset searches
PubMed -Respiratory medicine
Obstructive sleep apnoea hypopnoea
Tuberculosis primary care review
Upper respiratory tract infections
Lower respiratory tract infections
O’Dowd EL, Baldwin DR. Early diagnosis pivotal to survival in lung cancer. Practitioner 2014;258 (1776) 21-24
Early diagnosis pivotal to survival in lung cancer
24 Nov 2014
AUTHORS
Dr Emma L O’Dowd BM BS MRCP, Clinical Research Fellow, Division of Public Health and Epidemiology
Professor David R Baldwin MB ChB MD FRCP, Professor of Respiratory Medicine, Nottingham University Hospitals NHS Trust, Nottingham City Hospital, and University of Nottingham, Nottingham, UK
Article
Abstract
The UK has been highlighted, by the International Cancer Benchmarking Project and the EUROCARE groups, as a country with one of the lowest lung cancer survival rates. It has been postulated that this is due to an excess of early deaths, delays in diagnosis are thought to contribute to this problem. A recent study showed that 30% of patients with lung cancer die within the first 90 days and they have seen their GP on average five times in the four months before diagnosis, suggesting there may be opportunities to diagnose these patients earlier in the disease process. The challenge GPs face is to identify and refer those at risk as early as possible and to maintain a high index of suspicion if symptoms persist. The SIGN guideline reiterates the importance of performing a chest X-ray in those in whom the suspicion of lung cancer has been raised and not to be falsely reassured by a normal chest
X-ray in a high-risk patient. The initial investigation of choice in secondary care remains a CT scan of the chest and abdomen, followed by PET-CT scanning in those deemed suitable for potentially curative treatment. Smoking cessation reduces the risk of post-operative and systemic treatment-related complications and also reduces the chance of cancer recurrence. Surgery remains the initial treatment of choice for those with early stage disease in NSCLC who are deemed fit enough.
Those who have early stage NSCLC (stage I or stage II) who are either medically inoperable or decline surgery should be offered radical radiotherapy. Hospital follow-up should be continued while patients are receiving treatment, complemented by clinical nurse specialist input alongside community support. All patients should have access to specialist palliative care teams. Those with palliative care input have improved quality of life and symptom control and fewer hospitalisations.
Lung cancer is the most common cause of cancer death, both in the UK and worldwide. There has been little change in survival over the past 20 years, with increasing evidence that there are disparities in outcomes between the UK and other comparable healthcare systems. The International Cancer Benchmarking Project and the EUROCARE groups highlighted the UK as a country with one of the lowest lung cancer survival rates.1-5
It has been postulated that this is due to an excess of early deaths, with inequalities particularly in the 0-3 month period post-diagnosis.1, 3 Delays in diagnosis are thought to contribute to this problem.
The key recommendations in the updated SIGN guideline,6 published in February 2014, focus mainly on secondary care interventions but it is clear that we also need to address both patient and primary care factors to try to improve the overall prognosis.
Presentation
A recent study showed that 30% of patients with lung cancer die within the first 90 days and they have seen their GP on average five times in the four months before diagnosis, suggesting there may be opportunities to diagnose these patients earlier in the disease process.
Further research has also indicated that patients frequently present with symptoms that are predictive of lung cancer in the 4-12 months before diagnosis.8 Many of these patients have underlying chronic respiratory disease, which may initially be thought of as the cause of their symptoms, so the challenge GPs face is to identify and refer those at risk as early as possible and to maintain a high index of suspicion if symptoms persist.
It has been proposed that integration of risk-stratification tools into GP software, taking into account sociodemographic features in addition to symptoms, may help to identify those at high risk earlier and prompt more timely investigation and referral to secondary care.7
The SIGN guideline reiterates the importance of performing a chest X-ray in those in whom the suspicion of lung cancer has been raised and, furthermore, not to be falsely reassured by a normal chest X-ray in a high-risk patient.
Research performed as part of the National Cancer Intelligence Network Routes to Diagnosis project also suggested that almost 40% of lung cancer patients present via the emergency route, and these patients have a much lower one-year survival rate.9
These findings prompted the recent public awareness initiatives, including the Be Clear on Cancer campaign, which ran initially from May to June 2012, with a further initiative taking place in March and April 2014. The results from the initial campaign showed an increase of around 30% in two-week wait referrals for suspected lung cancer, with more lung cancers being diagnosed and a shift towards earlier stage disease.
Investigations
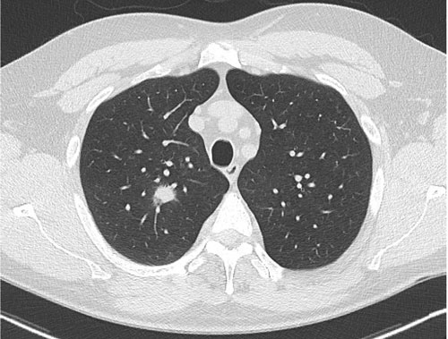
The initial investigation of choice in secondary care remains a computed tomography (CT) scan of the chest and abdomen, followed by PET-CT scanning in those deemed suitable for potentially curative (radical) treatment, see figure 1. This is both to ensure staging is as accurate as possible and to direct diagnostic sampling.
The key is to try to obtain the largest diagnostic sample in the least invasive way, which will also allow the patient to be staged to the highest extent. Good quality samples are essential to allow subtyping and molecular analysis, especially in light of the new targeted systemic therapies for non-small cell lung cancer (NSCLC).
Smoking cessation
Smoking cessation may seem futile in patients with a lung cancer diagnosis but it remains key to highlight the importance and offer support for those wanting to stop.
It is of particular significance in those undergoing treatment with curative intent, as it reduces the risk of post-operative and systemic treatment-related complications and in addition reduces the chance of cancer recurrence.10, 11
Management of Non small cell lung cancer
Surgery
Surgery remains the initial treatment option of choice for those with early stage disease in NSCLC who are deemed fit enough. However, resection rates in the UK remain lower than many other countries, with inequalities in access to surgical treatment still an issue in some areas.
Recent research has shown that patients first referred to a surgical centre (as opposed to a hospital without thoracic surgery on site) were 37% more likely to receive surgery. In addition the largest centres operated on 18% of patients first seen locally, compared with only 12% of those referred to them from peripheral hospitals.12
As surgical resection offers the greatest chance of cure it is important to try to reduce this variation and increase resection rates if we are to improve the five-year survival.
Ideally the procedure of choice should aim to minimise the amount of lung tissue lost while still giving the best chance of cure, for example sleeve lobectomy in place of pneumonectomy, in those in whom clear resection margins can be obtained.
Video assisted thoracoscopy (VATS) is a minimally invasive procedure with a lower incidence of complications, shorter inpatient stay and similar two- and five-year survival figures to open surgery. This may be offered to those with stage 1 disease.
Radiotherapy
In those who have early stage NSCLC (stage I or stage II) who are either medically inoperable or decline surgery, radical radiotherapy would be the next treatment of choice. This should be delivered in the form of continuous hyperfractionated accelerated radiation therapy (CHART), which has been shown to confer a survival benefit compared with conventional radiotherapy.13, 14 It offers a similar radiation dose but is given over 12 consecutive days rather than the six weeks a conventional regimen takes to complete.
In addition those who have stage I peripheral tumours who are not suitable for surgery could be offered a form of highly targeted radiotherapy called stereotactic ablative radiotherapy (SABR).
Radiotherapy beams are focused from many different positions around the body, meeting at the tumour. This means that the tumour receives a high dose of radiation and the tissues around it a relatively low dose, thus lowering the risk of radiation pneumonitis.
Small studies suggest SABR may be comparable to surgery in selected patients but a larger trial is ongoing.15
Palliative radiotherapy retains its place in the treatment of thoracic symptoms (for example haemoptysis) and bone metastases in the updated SIGN guideline.
Systemic anticancer therapy
Molecular analysis and stratification of tumour type is a rapidly changing area and there are ever increasing numbers of drugs targeting specific molecular mutations under development.
Currently testing for epidermal growth factor receptor (EGFR) mutations is recommended (after initial tumour subtyping shows non-squamous NSCLC) as tyrosine kinase inhibitors are approved as first-line therapy in those with advanced NSCLC who have a sensitising mutation.
Those who are EGFR negative should receive conventional platinum-based regimens first line.
Second-line chemotherapy, in the form of docetaxel, erlotinib or pemetrexed, may be offered to those who progress after initial treatment but are still of good performance status.
Brain metastases
The brain is a common site of metastasis in those with NSCLC, particularly with the adenocarcinoma subtype. Those with a solitary brain metastasis should be offered resection using radiosurgery or conventional neurosurgery in the first instance, followed by adjuvant radiotherapy, as there is some evidence that this can confer a survival benefit as long as the extracranial disease is controlled.16, 17
Small cell lung cancer
Because of the aggressive nature of small cell lung cancer curative treatment is rarely an option.
Surgical resection may be considered in those who have the earliest stage disease (tumours ≤ 3 cm with no nodal spread), but only once they have been extensively staged, with resection followed by adjuvant chemotherapy.
In all other patients the aim is to commence chemotherapy as soon as possible and to offer prophylactic cranial irradiation to all who do not progress following first-line treatment.
Monitoring and follow-up
The multidisciplinary team remains at the centre of planning treatment and co-ordinating management in those with lung cancer. Hospital follow-up should be continued while patients are receiving treatment, complemented by clinical nurse specialist input alongside community support.
All patients should also have access to specialist palliative care teams as studies have shown that patients with palliative care input have improved quality of life, improved symptom control and fewer hospitalisations.18
Conclusion
Effective communication with patients and collaboration between healthcare practitioners is essential to ensure that we are able to manage patient expectations and minimise delays in the diagnostic and management pathway.
The challenge in primary care is to identify those at highest risk early and refer them promptly for further investigation, while the priorities in secondary care are to provide universal access to the highest quality evidence-based diagnostics and management.
Greater focus on early diagnosis should allow us to improve survival and ultimately reduce mortality.
REFERENCES
1 Coleman MP, Forman D, Bryant H et al. Cancer survival in Australia, Canada, Denmark, Norway, Sweden, and the UK, 1995-2007 (the International Cancer Benchmarking Partnership): an analysis of population-based cancer registry data. Lancet 2011;377(9760):127-38
2 Verdecchia A, Guzzinati S, Francisci S et al. Survival trends in European cancer patients diagnosed from 1988 to 1999. Eur J Cancer 2009;45(6):1042-66
3 Holmberg L, Sandin F, Bray F et al. National comparisons of lung cancer survival in England, Norway and Sweden 2001-2004: differences occur early in follow-up. Thorax 2010;65(5):436-41
4 Walters S, Maringe C, Coleman MP et al. Lung cancer survival and stage at diagnosis in Australia, Canada, Denmark, Norway, Sweden and the UK: a population-based study, 2004-2007. Thorax 2013;68(6):551-64
5 Berrino F, De Angelis R, Sant M. Survival for eight major cancers and all cancers combined for European adults diagnosed in 1995-99: results of the EUROCARE-4 study. Lancet Oncol 2007;8(10):773-83
6 Scottish Intercollegiate Guidelines Network. SIGN 137. Management of lung cancer (update). SIGN. Edinburgh. 2014
7 O’Dowd E, McKeever T, Baldwin D et al. What characteristics of primary care and patients are associated with early death in patients with lung cancer in the United Kingdom? Thorax 2014 thoraxjnl-2014-205692 Published Online First: 13 October 2014 doi:10.1136/thoraxjnl-2014-205692
8 Iyen-Omofoman B, Tata LJ, Baldwin DR et al. Using socio-demographic and early clinical features in general practice to identify people with lung cancer earlier. Thorax 2013;68(5):451-9
9 Elliss-Brookes L, McPhail S, Ives A et al. Routes to diagnosis for cancer - determining the patient journey using multiple routine data sets. Br J Cancer 2012;107(8):1220-6
10 Chen J, Jiang R, Garces YI et al. Prognostic factors for limited-stage small cell lung cancer: A study of 284 patients. Lung Cancer 2010;67(2):221-6
11 Parsons A, Daley A, Begh R, Aveyard P. Influence of smoking cessation after diagnosis of early stage lung cancer on prognosis: systematic review of observational studies with meta-analysis. BMJ. 2010 Jan 21;340: b5569. doi: 10.1136/bmj.b5569
12 Khakwani A, Rich AL, Powell HA et al. The impact of the ‘hub and spoke’ model of care for lung cancer and equitable access to surgery. LID - thoraxjnl-2014-205841 [pii] LID - 10.1136/thoraxjnl-2014-205841 [doi]. (1468-3296 (Electronic)
ARTICLE IN PDF
PRESET SEARCHES
US NCI
PDQ® (Physician Data Query) is the US NCI's cancer database of peer-reviewed, regularly updated evidence-based, referenced summaries
PubMed
EXTERNAL WEBLINKS
NICE
Recent evidence
Lung
NICE
British Thoracic Society
Cancer Research UK
British Thoracic Oncology Group

= Registered users
= Paid-up subscribers