Preset searches
PubMed -Respiratory medicine
Obstructive sleep apnoea hypopnoea
Tuberculosis primary care review
Upper respiratory tract infections
Lower respiratory tract infections
Crisp E, O’Dowd EL, Baldwin DR. Diagnosis and management of malignant pleural mesothelioma. Practitioner December 2020;264(1843):15-18
Diagnosis and management of malignant pleural mesothelioma
21 Dec 2020
AUTHORS
Dr Elinor Crisp MBChB MRCP, Specialty Trainee in Respiratory Medicine
Dr Emma L O’Dowd BMBS (Hons) PhD MRCP, Consultant Respiratory Physician
Professor David R Baldwin MD FRCP, Consultant Respiratory Physician and Honorary Professor of Medicine
Department of Respiratory Medicine, Nottingham University Hospitals NHS Trust, Nottingham, UK
Competing interests: Professor David Baldwin has received honoraria for talks and advice on CT screening, Covid-19 response, and early diagnosis from Roche, AstraZeneca, MSD and Bristol-Myers Squibb. The other authors have no competing interests
Article
Mesothelioma accounts for less than 1% of all cancers in England, Wales and Northern Ireland. There are almost 2,500 new diagnoses a year, of which 96% are pleural. The median age at diagnosis for malignant pleural mesothelioma (MPM) is 76 years. The majority of cases occur in men, most commonly following occupational exposure to asbestos. There is a latent period, usually 30-40 years, between exposure and disease development. Symptoms are often insidious and non-specific, so patients may present recurrently to their GP prior to diagnosis, despite their initial chest X-ray being normal. Common symptoms include: chest pain; shortness of breath; fevers, chills or sweats; weakness or fatigue; cough; weight loss; anorexia; and heaviness in the chest. Pleural effusion is the most common sign. A chest X-ray is usually the first-line investigation; 94% of patients with MPM have a unilateral pleural effusion, although the chest X-ray may be normal or show another asbestos-related lung disease. Pleural effusion may be benign or malignant. All patients with a chest X-ray suspicious of MPM should be referred via the two-week wait pathway for suspected cancer referrals. Referral should also be considered where there are persistent symptoms and a history of asbestos exposure, despite a normal chest X-ray. Patients should be managed by a mesothelioma multidisciplinary team with early palliative care input to prioritise symptom control.
Mesothelioma is a primary malignancy of the mesothelium affecting the pleura (malignant pleural mesothelioma) and less commonly the peritoneum (malignant peritoneal mesothelioma).
It accounts for less than 1% of all cancers in England, Wales and Northern Ireland. There are almost 2,500 new diagnoses a year, of which the vast majority (96%) are pleural.1
This article focusses on malignant pleural mesothelioma (MPM). The British Thoracic Society (BTS) and the European Respiratory Society (ERS) have both recently produced guidelines on the investigation and management of MPM.2,3
Risk factors
The median age at diagnosis for MPM in the UK is 76 years.1 The majority (> 80%) of cases occur in men, with more than 80% of these cases associated with occupational exposure to asbestos.1,3 There is a latent period which is usually 30-40 years between exposure and disease development. Based on previous exposure rates, it is estimated that peak incidence will occur in 2020.2,3
Table 1, shows the risk of developing mesothelioma for men born in the UK in the 1940s, undertaking more than ten years’ work in certain occupations before the age of 30; this compares with 0.1% risk where there is no occupational exposure.2
Other occupations associated with exposure are: working in asbestos sheet production or the manufacture of brake and clutch linings; dock and shipyard workers and launderers.2 There is therefore regional variation in incidence depending on local industries.4
Cases may also be attributed to para-exposure, for example women exposed to asbestos through laundering their husband’s work clothes, or living near an asbestos factory.2
There is a higher risk of MPM associated with exposure to blue (crocidolite) and brown (amosite) asbestos than white (chrysotile) asbestos, which was more commonly used. Use of blue and brown asbestos was banned in 1985, and white banned in 1999, however asbestos may still be present in buildings constructed before it was banned.2,5
Other causes of MPM include exposure to ionising radiation, and rarely familial cases can occur, associated with a mutation of the breast cancer associated protein 1 (BAP1) gene.2 Tobacco smoking is not a risk factor for developing MPM.3
Presentation
Common presenting symptoms are shown in table 2. Symptoms are often insidious and non-specific, so patients may present recurrently to their GP prior to diagnosis, despite their initial chest X-ray being normal.4
A thorough occupational history should be obtained, and the occupations of partners and close relatives should be ascertained to identify risk of para-exposure.2
Investigation and referral criteria
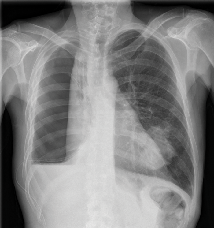
A chest X-ray is usually the first-line investigation; 94% of patients with MPM have a unilateral pleural effusion, although the chest X-ray may be normal or show another asbestos-related lung disease, see table 3.
Less than 3% of patients have bilateral pleural involvement.2 Pleural plaques may be investigated further using CT scanning, however invasive investigations are not justified.3
All patients with a chest X-ray suspicious of MPM should be referred via the two-week wait pathway for suspected cancer referrals to secondary care,7 see table 4.
Referral should also be considered where there are persistent symptoms and a history of asbestos exposure, despite a normal chest X-ray.2
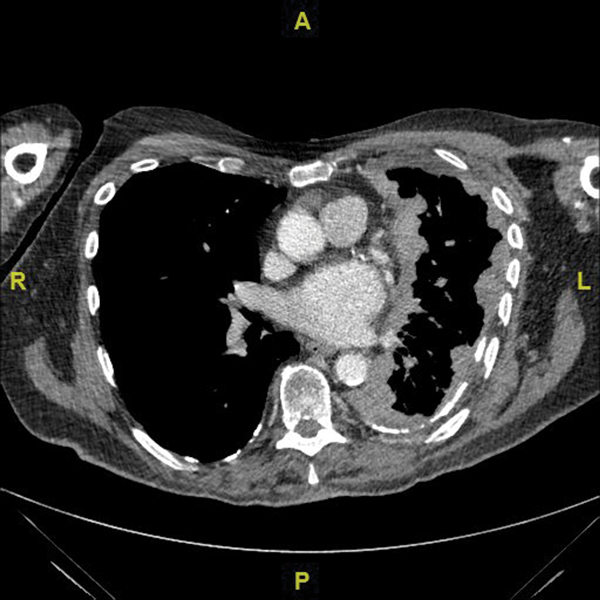
Where there is a suspicion of MPM, the BTS recommends investigation with a contrast enhanced CT scan with intravenous contrast timed to enhance the pleura.2 Figure 1, shows malignant mesothelioma, with concentric pleural thickening extending over the mediastinal surface.
Tissue samples should be obtained to confirm diagnosis as radiologically MPM can be difficult to distinguish from metastatic pleural cancers.2 Often pleural fluid aspiration does not provide a diagnosis, however it may be useful in excluding other more common malignancies.3 Thoracoscopy with pleural biopsy is the gold standard investigation for MPM. Where CT reveals a focal abnormality, image-guided biopsy may be performed; this approach is less invasive and may be used where the patient is not a suitable candidate for thoracoscopy.2,3
Tissue biopsies also enable histological classification. MPM subtypes may be epithelioid (~ 50% of cases), sarcomatoid (~ 10%), biphasic where both these elements are present (~10%), or unspecified (~ 30%).1,3,8 Pleural effusions are usually associated with the epithelioid subtype.3
Several biomarkers have been identified which are associated with MPM, however their use as a sole diagnostic test, monitoring or screening for disease is not recommended by the BTS. They may be useful in diagnosis where cytology is suspicious but the patient is not suitable for pleural biopsy. Staging of MPM is performed using the TNM staging system; this classifies stage of primary tumour, lymph node involvement and presence of distant metastases.2
All cases of MPM should be discussed at a multidisciplinary team (MDT) meeting and should have input from a specialist nurse. Because of its low incidence, patients may need to be referred to a regional mesothelioma MDT.1
Management
Pleural fluid and trapped lung
Pleural effusions usually recur after drainage, so definitive management is required either with talc pleurodesis or an indwelling pleural catheter (IPC).2
In the former, talc is introduced into the pleural space following thoracoscopy or via chest drain. This procedure is successful in around 70% of cases. Talc pleurodesis can be painful, so adequate analgesia is required.9 IPCs enable pleural fluid to be drained regularly at home, providing symptom control. More than 95% of patients with an IPC achieve symptomatic improvement, with less than 10% having complications which necessitate removal of the IPC.10
IPCs are also recommended for management of a trapped lung. This occurs when pleural infiltration prevents lung re-expansion following drainage of pleural fluid, meaning talc pleurodesis is unlikely to succeed due to reduced parietal and visceral pleural contact (see figure 2).11
Surgery
Studies have shown increased length of hospital stay and complication rates in patients managed surgically, with no survival benefit when compared with talc pleurodesis. The BTS advises that surgery should not be offered as a management option for MPM outside the context of clinical trials.2 Current UK trials are listed in table 5.
Chemotherapy
Patients with a WHO performance status of 0-1 should be offered chemotherapy with cisplatin and pemetrexed. The EMPHASIS trial showed median survival of 12.1 months with this combined treatment, compared with a median survival of 9.3 months for those treated with cisplatin monotherapy.12
The addition of a third chemotherapy agent, bevacizumab, has shown additional survival benefit, however this is not currently licensed in the UK, and not available on the NHS.
Where cisplatin is contraindicated, carboplatin can be used with pemetrexed instead; similar response and survival rates between the two in combination with pemetrexed have been shown. Pemetrexed is associated with bone marrow toxicity, which is reduced by giving B12 and folate supplements.3
Immunotherapy is likely to have a role in future treatment of MPM, however it is not currently available, and further research is needed. Further research into second-line therapies is also required.2
Radiotherapy
Because of the diffuse nature of MPM, radiotherapy poses the risk of damaging surrounding organs. Studies show no survival benefit where radiotherapy is used as monotherapy, as an adjunct with chemotherapy or surgery, or prophylactically to prevent disease seeding from intervention sites. The BTS does not recommend radiotherapy in the treatment of MPM, except in a palliative capacity for localised pain associated with disease.2
Symptom control
Palliative care involvement is recommended at an early disease stage to optimise symptom control. MPM patients can suffer with excessive sweating, which may be alleviated with prednisolone, and thoracic pain, which is usually unilateral and severe, and may be difficult to control with analgesia.3
Prognosis
Forty per cent of patients with MPM are alive 12 months after diagnosis. Three-year survival is currently 10%, an increase from 7% in 2016.1 The epithelioid subtype has the best prognosis, with more than 50% of patients surviving to 12 months after diagnosis, while biphasic and sarcomatoid subtypes have poorer outcomes, with 12-month survival around 35% and 15% respectively.1
Several prognostic scores are recommended by the BTS; however, it emphasises that these should be used only to advise patients and medical staff, and not for treatment decisions.2 The decision tree model uses variables including weight loss, performance status and histological subtype to classify patients into four groups. Eighteen-month survival decreases from 87% in group 1 to 0% in group 4.8
Conclusion
Mesothelioma is a rare cancer with a poor prognosis, and limited treatment options. Patients should be managed by an MDT with early palliative care input to prioritise symptom control. Chronic and life-limiting diseases have a financial impact on patients and their families, and financial compensation is available to those who have developed disease due to occupational asbestos exposure, see External website.
REFERENCES
1 Royal College of Physicians. National Mesothelioma Audit report 2020 (for the audit period 2016-2018). RCP. London. 2020
2 Woolhouse I, Bishop L, Darlison L et al. British Thoracic Society guideline for the investigation and management of malignant pleural mesothelioma. Thorax 2018;73(Suppl1):1-i30
3 Scherpereel A, Opitz I, Berghmans T et al. ERS/ESTS/EACTS/ESTRO guidelines for the management of malignant pleural mesothelioma. Eur Resp J 2020;55(6):1900953
4 BTS statement on malignant mesothelioma in the UK, 2007. Thorax 2007;62(Suppl 2):ii1-ii19
5 Mesothelioma UK. About Mesothelioma 2018
6 Adams VI, Unni KK, Muhm JR et al. Diffuse malignant mesothelioma of pleura. Diagnosis and survival in 92 cases. Cancer 1986;58(7):1540-51
7 National Institute for Health and Care Excellence. NG12. Suspected cancer: recognition and referral. NICE. London. 2015 Updated 2020
8 Brims FJ, Meniawy TM, Duffus I et al. A novel clinical prediction model for prognosis in malignant pleural mesothelioma using decision tree analysis. J Thorac Oncol 2016;11(4):573-82
9 Bibby AC, Dorn P, Psallidas I et al. ERS/EACTS statement on the management of malignant pleural effusions. Eur J Cardiothorac Surg 2019;55(1):116-32
10 Van Meter ME, McKee KY, Kohlwes RJ. Efficacy and safety of tunneled pleural catheters in adults with malignant pleural effusions: a systematic review. J Gen Intern Med 2011;26(1):70-76
11 Roberts ME, Neville E, Berrisford RG et al Group BTSPDG. Management of a malignant pleural effusion: British Thoracic Society Pleural Disease Guideline 2010. Thorax 2010;65:Suppl 2:ii32-40
12 Vogelzang NJ, Rusthoven JJ, Symanowski J et al. Phase III study of pemetrexed in combination with cisplatin versus cisplatin alone in patients with malignant pleural mesothelioma. J Clin Oncol 2003;21(14):2636-44
13 Lim E, Darlison L, Edwards J, Elliott D et al. Mesothelioma and radical surgery 2 (MARS 2): protocol for a multicentre randomised trial comparing (extended) pleurectomy decortication versus no (extended) pleurectomy decortication for patients with malignant pleural mesothelioma. BMJ Open 2020;10(9):e038892
14 Matthews C, Freeman C, Sharples LD et al. MesoTRAP: a feasibility study that includes a pilot clinical trial comparing video-assisted thoracoscopic partial pleurectomy decortication with indwelling pleural catheter in patients with trapped lung due to malignant pleural mesothelioma designed to address recruitment and randomisation uncertainties and sample size requirements for a phase III trial. BMJ Open Respir Res 2019;6(1):e000368
ARTICLE IN PDF
EXTERNAL WEBLINKS
The following organisations provide information and support for mesothelioma patients and their families including details on compensation and benefits

= Registered users
= Paid-up subscribers
