CPD frameworks
These frameworks, associated with all articles, prompt drafting of personal learning, reflection and planning.
Save your reflective note into your device or cloud
Fillable PDF frameworks
Adobe reader needed for tablets
Word frameworks - for reflective practice
Click to download
Reflection on a journal article
Stages of reflection on a situation
Reflection of a team, practice or group
External reference on reflection
Reflective practice in health care and how to reflect effectively
Koshy K, Limb C et al. International Journal of Surgical Oncology. 2017 2:e20
Elnaim R, O’Rourke D, Hill C. Prompt recognition and treatment crucial in pyelonephritis. November/December 2022;266(1863):25-27
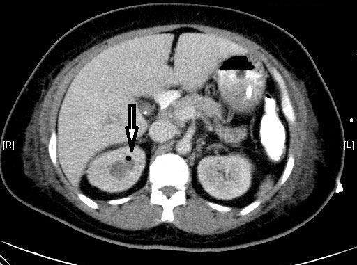
Prompt recognition and treatment crucial in pyelonephritis
20 Dec 2022
Acute pyelonephritis is a bacterial infection of the kidney parenchyma that can cause organ damage and be life-threatening. It is associated with systemic symptoms and flank pain which are not usually present in lower urinary tract infections. Early recognition and aggressive management of sepsis is required to prevent serious complications. Patients should be urgently referred to the emergency department if they are unwell and showing signs of sepsis (hypotension, tachycardia, hypothermia or pyrexia, signs of systemic illness such as rigors). Patients at higher risk of severe disease (elderly comorbid patients or those in other risk groups) may also warrant urgent referral.
This article can be accessed only if you are a paid-up subscriber to The Practitioner.

= Registered users