Corr MP, Maxwell AP. Maintain a high index of suspicion for kidney cancer. Practitioner April 2022;266(1857):21-24
Maintain a high index of suspicion for kidney cancer
25 Apr 2022
AUTHORS
Dr Michael P. Corr MBBCh MSc MRCP, Specialist Trainee in Renal Medicine, Regional Nephrology Unit, Belfast City Hospital, Belfast, UK
Professor Alexander P. Maxwell MD PhD FRCP, Professor of Renal Medicine, Centre for Public Health, Royal Victoria Hospital, Queen’s University Belfast, Belfast, UK
Article
Kidney cancer accounts for 4% of total malignancies in men and 3% in women. More than 80% of kidney cancers are renal cell carcinomas (RCC). Early stage and localised disease is potentially curable in around 90% of patients. However, metastatic disease has historically been associated with poor prognosis; 10% survival at five years post diagnosis. More than 50% of RCC cases are detected incidentally on imaging, often at a late stage. Patients may present with mass-related localised symptoms, constitutional symptoms and symptoms of metastatic disease. There is a male predominance for RCC in a ratio of 3:2. Incidence increases with advancing age with more than 50% of cases diagnosed in people aged over 70. Risk factors include smoking, obesity and hypertension. Patients with acquired cystic kidney disease, those with end-stage renal disease, patients receiving haemodialysis or who have had a renal transplant are all at an increased risk of RCC. Ultrasound is the optimal initial investigation to screen individuals with suspected RCC. NICE recommends that patients aged 45 and over with isolated haematuria, in the absence (or following treatment) of a urinary tract infection, are referred for investigation of a potential renal malignancy.
Kidney cancer accounts for 4% of total malignancies in men and 3% in Women.1
In the UK, cases have been predicted to rise by 26% by 2035 to 32 cases per 100,000 people in part due to an ageing population.2 However, there is evidence worldwide that the incidence of kidney cancer is plateauing.3
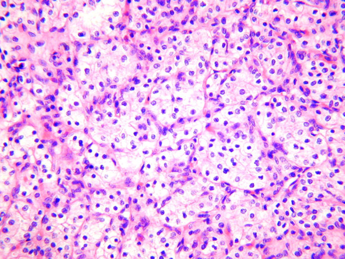
The term kidney cancer refers to a large array of both parenchymal and urothelial malignancies. More than 80% of kidney cancers are renal cell carcinomas (RCC) of which clear cell (ccRCC) (illustrated in figures 1and 2) is the predominant subtype, accounting for around 75% of RCC cases.4 Hence, RCC will be the focus of this article.
Early stage and localised disease is potentially curable in around 90% of patients, while metastatic disease has historically been associated with poor prognosis; 10% survival at five years post diagnosis.1 Case mortality for RCC has stabilised, despite the increasing incidence, through earlier detection with more sensitive imaging and novel therapeutic options for those with advanced disease.5
However, the often vague and variable symptoms of RCC still make an earlier clinical diagnosis challenging.
Clinical presentation
More than 50% of RCC cases are detected incidentally on imaging (often at a late stage), reflecting the occult nature of the disease.6 Patients may present with mass-related localised symptoms, constitutional symptoms, symptoms of metastatic disease and/or abnormal laboratory investigation results as summarised in box 1.
Local tumour invasion of the renal vein can present with a non-reducing varicocele.7 In severe cases the tumour can extend into the inferior vena cava causing bilateral lower limb oedema.8
Up to 30% of patients with symptomatic RCC have features related to a paraneoplastic syndrome.6 These are caused by secretion of tumour-derived hormones e.g. erythropoietin in polycythaemia, parathyroid hormone-related peptide in hypercalcaemia or renin in hypertension.6
Abnormal laboratory investigation findings can include anaemia, raised CRP or elevated ESR in the absence of infection.
Up to 30% of patients will present with metastatic disease and corresponding symptoms such as swelling due to lymphadenopathy, bone pain caused by bone metastases and respiratory symptoms (dyspnoea, haemoptysis) due to lung metastases.6
Risk factors
There is a male predominance for RCC in a ratio of 3:2 and the incidence increases with advancing age with more than 50% of cases diagnosed in people over 70 years old.1
There are well known risk factors associated with increased incidence of RCC such as cigarette smoking, obesity and hypertension.
Evidence is emerging for some aetiological factors having protective effects, such as higher caffeine intake, moderate alcohol consumption and increased intake of cruciferous vegetables all associated with lower RCC incidence.3,9
A history of chronic kidney disease is associated with an increased risk of RCC and in the presence of symptoms should raise clinical suspicion of a tumour. Patients with acquired cystic kidney disease, those with end-stage renal disease, patients receiving haemodialysis or who have had a renal transplant are all at increased risk of RCC.3,10 Inherited autosomal dominant polycystic kidney disease does not appear to have an association with RCC.
RCC is not a cancer that is typically linked with occupational exposure to chemicals and should not be confused with the increased risk of urological cancers, such as transitional cell carcinoma, with exposure to aniline dyes used in textile, rubber and plastic industries.11
However, exposure to trichloroethylene (a chemical used as a metal degreaser in the automobile industry) has been shown to predispose individuals to RCC.12
Approximately 2-3% of all RCCs are hereditary and several autosomal dominant syndromes have been described.11 Von Hippel-Lindau disease is the most common and is associated with retinal, central nervous system and renal tumours. Patients with tuberous sclerosis, which presents with developmental delay, epilepsy and hamartomas in the central nervous system, skin and kidneys are at increased risk of RCC.
Familial ccRCC is another autosomal dominant condition that should be suspected if two or more family members present at a young age (under 50) with bilateral RCC.13,14 Patients with a family history of RCC, those presenting at a young age, patients presenting with bilateral RCC or in association with syndromic features should be referred for genetic testing.6
Investigation
Ultrasound remains the optimal initial investigation to screen individuals with suspected RCC. An urgent ultrasound of kidneys and urinary bladder should be requested.
Other investigations including full blood picture (anaemia/polycythaemia), electrolyte profile (baseline renal function), bone profile (hypercalcaemia) and CRP/ESR are all useful.
Urinalysis combined with a urinary albumin: creatinine ratio (ACR) can be helpful to investigate and differentiate different causes of haematuria. Haematuria in association with nitrites and/or leucocytosis could represent a simple urinary tract infection (UTI) while haematuria associated with significant proteinuria (ACR >70 mg/mmol) is more likely to represent an intrinsic renal disease. Isolated haematuria without proteinuria or evidence of infection should raise suspicion of a renal or urological structural disease or malignancy.
The NICE guideline NG12. Suspected cancer: recognition and referral recommends that patients aged 45 and over with isolated haematuria, in the absence (or following treatment) of a UTI, are referred for investigation of a potential renal malignancy, see table 1.15 (Visible haematuria should raise suspicion of urological malignancy such as bladder or prostate cancer.) Clinicians should also be aware of the updated recommendations regarding referral for suspected bladder cancer, see table 1.
In secondary care, after ultrasound examination of renal tracts further imaging such as CT or MRI will be requested. This provides additional information regarding tumour extension, anatomy of the contralateral kidney and potential metastatic spread contributing to staging. If appropriate, pathological specimens will be obtained in order to get a tissue diagnosis as the RCC subtypes can have varying treatment options and prognoses.
Treatment
Treatment will be guided by disease stage, tumour size, pathological subtype, patient performance status and comorbidities.5,6 Patients should be actively involved in treatment decisions and overall goals of management.
Localised disease
For patients with disease limited to the kidney there are a range of options. In older patients, or patients with significant comorbidities who have an incidentally detected small RCC, a surveillance approach may be adopted.5 In these patients RCC-specific mortality is usually low and risk of progression to metastatic disease is less than 2%.16 Patients can have surveillance via ultrasound, CT or MRI imaging and only in evidence of progressive disease will intervention be considered.
Radiofrequency ablation therapy may be offered in elderly, comorbid patients considered unfit for surgery who have smaller tumours < 3 cm.5
This may also be offered to patients with multiple tumours, chronic kidney disease or patients with a single kidney.
For patients on a palliative management plan, symptoms such as haematuria or loin pain are occasionally treated with embolisation therapy.5
For the majority of patients with RCC limited to the kidney the ultimate goal is surgical intervention to achieve cure. Partial nephrectomy is usually offered as first line in T1 (tumours limited to the kidney < 7 cm) and T2 (tumours limited to the kidney > 7 cm) lesions where a patient has a single kidney or chronic kidney disease.17 This strategy is ‘nephron sparing’, limits the reduction in overall renal function, and is now the favoured approach. It is particularly useful in cases of hereditary RCC where multiple tumours are likely to occur over a patient’s lifetime.5,6
In other patients with tumours > 7 cm or those that extend into local structures (adrenal tissue, inferior vena cava below the diaphragm but not beyond Gerota’s fascia) attempt at curative therapy is by radical nephrectomy.5
There is no evidence of a difference in survival outcomes between open and laparoscopic nephrectomy in patients with RCC and hence guidelines recommend a laparoscopic technique as it is associated with reduced morbidity and shorter hospital stay.5,18
Interval radiological surveillance is required post-surgical resection of RCC as 20-30% will experience a relapse (often in the form of pulmonary metastases).19 Frequency of surveillance is often based on pathological subtype and whether surgical margins are disease free.6 Despite these high rates of relapse there are currently limited therapeutic options for adjuvant chemotherapy or immunotherapy.
Only one immune checkpoint inhibitor, pembrolizumab, has a guideline recommendation for adjuvant use in aggressive ccRCC.5,20 Results of further studies of checkpoint inhibitor use in adjuvant therapy are awaited.
Metastatic disease
Since the introduction of the first targeted systemic therapy for metastatic RCC in 2006, therapeutic options have rapidly increased with notable improvements in outcomes for patients.1
Targeted systemic therapies are designed to act on aberrant molecular pathways which promote tumour growth. Some malignancies such as RCC develop mechanisms to dampen or avoid the native immune response to a tumour by acting on immune checkpoints. Immunotherapy, with immune checkpoint inhibitors, blocks the evasive behaviour of the tumour cells and hence allows upregulation of immune-mediated action against the tumour.
For naïve metastatic RCC, immune checkpoint inhibitors that target PD-1, such as nivolumab, are the backbone of treatment. These immune checkpoint inhibitors are often paired with either a tyrosine kinase inhibitor such as axitinib, which acts on vascular endothelial growth factor to reduce angiogenesis, or a second immune checkpoint inhibitor which targets CTLA-4 such as ipilimumab.5,21
There is growing evidence that combined immune checkpoint inhibitor regimens may result in a higher proportion of patients achieving durable remissions.21
Systemic targeted therapies that were previously the mainstay of treatment of metastatic RCC such as sutinib (a tyrosine kinase inhibitor), everolimus (an mTOR mammalian target of rapamycin inhibitors which prevent tumour cell division and angiogenesis) and bevacizumab
(a monoclonal antibody to vascular endothelial growth factor) are now more likely to be used in advanced disease where other treatment options have failed or are not tolerated.5,6,21
Future considerations: improving outcomes
Technological advances are rapidly increasing the range of treatment options available to patients with RCC. Robotic surgical techniques hold the promise of more refined operative options for patients with larger or anatomically complex tumours.22
Results of multiple phase III trials are awaited that will help inform optimal systemic therapy and immunotherapy regimens for patients with metastatic disease and the use of systemic therapies for adjuvant treatment.23 Furthermore, there are promising novel therapeutic agents and targets being developed such as LAG-3 immune checkpoint inhibitors which may assist in improving outcomes.23,24
However, the main challenge to improving outcomes in RCC remains detection of early disease. With few promising potential biomarkers available for RCC,25 awareness and appropriate timely investigation by clinicians remains the best strategy at present.
Conclusions
GPs are likely to encounter a significant number of patients with kidney cancer during their career. Maintaining a high index of clinical suspicion and arranging appropriate early investigations offers patients the best chance of diagnosis at an early stage of the disease.
Unexplained visible haematuria in people aged 45 and over should trigger referral for suspected renal cancer.
For subtler presentations of RCC, basic blood and urine testing, in conjunction with ultrasound, can provide the necessary information to guide secondary care referral.
The treatment options available are expanding rapidly. Therefore, knowledge of the treatment options and potential side effects can help both primary and secondary care work together to support patients with RCC.
Competing interests: None
REFERENCES
1 World Cancer Research Fund. UK Cancer Statistics 2017.
2 Smittenaar CR, Petersen KA, Stewart K, Moitt N. Cancer incidence and mortality projections in the UK until 2035. Br J Cancer 2016;115(9):1147-55
3 Chow WH, Dong LM, Devesa SS. Epidemiology and risk factors for kidney cancer. Nat Rev Urol 2010;7(5):245-57
4 Saad AM, Gad MM, Al-Husseini MJ et al. Trends in renal-cell carcinoma incidence and mortality in the United States in the last 2 decades: a SEER-based study. Clin Genitourin Cancer 2019;17(1):46-57.e5
5 Ljunbery B, Albiges L, Abu-Ghanem Y et al. European Association of Urology guidelines on renal cell carcinoma: the 2022 Update. Eur Urol 2022. doi.10.1016/j.eururo.2022.03.006
6 Escudier B, Porta C, Schmidinger M et al. Renal cell carcinoma: ESMO clinical practice guidelines for diagnosis, treatment and follow-up. Ann Oncol 2019;30(5):706-20
7 El Abiad Y, Qarro A. Acute varicocele revealing renal cancer. N Engl J Med 2016;374(21):2075
8 Agarwal S, Yadav RN, Garg G, Kumar M. Renal cell carcinoma with level 2 IVC thrombus. BMJ Case Rep 2018;2018:bcr2018225465
9 Antwi SO, Eckel-Passow JE, Diehl ND et al. Coffee consumption and risk of renal cell carcinoma. Cancer Causes Control 2017;28(8):857-66
10 Foshat M, Eyzaguirre E. Acquired cystic disease-associated renal cell carcinoma: review of pathogenesis, morphology, ancillary tests, and clinical features. Arch Pathol Lab Med 2017;141(4):600-06
11 Ljungberg B, Campbell SC, Choi HY et al. The epidemiology of renal cell carcinoma. Eur Urol 2011;60(4):615-21
12 Moore LE, Boffetta P, Karami S et al. Occupational trichloroethylene exposure and renal carcinoma risk: evidence of genetic susceptibility by reductive metabolism gene variants. Cancer Res 2010;70(16):6527-36
13 Morrison PJ, Donnelly DE, Atkinson AB, Maxwell AP. Advances in the genetics of familial renal cancer. Oncologist 2010;15(6):532-38
14 Woodward ER, Clifford SC, Astuti D et al. Familial clear cell renal cell carcinoma (FCRC): clinical features and mutation analysis of the VHL, MET, and CUL2 candidate genes. J Med Genet 2000;37(5):348-53
15 National Institute for Health and Care Excellence. NG12. Suspected cancer: recognition and referral. NICE. London. 2015 (updated 2021) www.nice.org.uk/guidance/ng12
16 Jewett MA, Mattar K, Basiuk J et al. Active surveillance of small renal masses: progression patterns of early stage kidney cancer. Eur Urol 2011;60(1):39-44
17 MacLennan S, Imamura M, Lapitan MC et al. Systematic review of perioperative and quality-of-life outcomes following surgical management of localised renal cancer. Eur Urol 2012;62(6):1097-1117
18 Laird A, Choy KC, Delaney H et al. Matched pair analysis of laparoscopic versus open radical nephrectomy for the treatment of T3 renal cell carcinoma. World J Urol 2015;33(1):25-32
19 Motzer RJ, Jonasch E, Agarwal N et al. Kidney Cancer, Version 2.2017, NCCN clinical practice guidelines in oncology. J Natl Compr Canc Netw 2017;15(6):804-34
20 Choueiri TK, Tomczak P, Park SH et al. Adjuvant pembrolizumab after nephrectomy in renal-cell carcinoma. N Engl J Med 2021;385(8):683-94
21 Bedke J, Albiges L, Capitanio U et al. The 2021 Updated European Association of Urology guidelines on renal cell carcinoma: immune checkpoint inhibitor-based combination therapies for treatment-naive metastatic clear-cell renal cell carcinoma are standard of care. Eur Urol 2021;80(4):393-97
22 Phung MC, Lee BR. Recent advancements of robotic surgery for kidney cancer. Asian J Endosc Surg 2018;11(4):300-07
23 George DJ, Lee CH, Heng D. New approaches to first-line treatment of advanced renal cell carcinoma. Ther Adv Med Oncol 2021;13:17588359211034708
24 ClinicalTrials.gov NCT04626479. Substudy 03A: a study of immune and targeted combination therapies in participants with first line (1L) renal cell carcinoma (MK-3475-03A), https://clinicaltrials.gov/ct2/show/NCT04626479?term=first-line&cond=Renal+Cell+Carcinoma&draw=2&rank=86
25 Ngo TC, Wood CG, Karam JA. Biomarkers of renal cell carcinoma. Urol Oncol 2014;32(3):243-51
ARTICLE IN PDF
PRESET SEARCHES
PubMed
US NCI
EXTERNAL WEBLINKS
Cancer Research UK
Patient information and links to clinical trials in kidney cancer
NHS Choices
Basic overview of kidney cancer and links to patient support
www.nhs.uk/conditions/kidney-cancer/
Macmillan Cancer Support

= Registered users
= Paid-up subscribers
